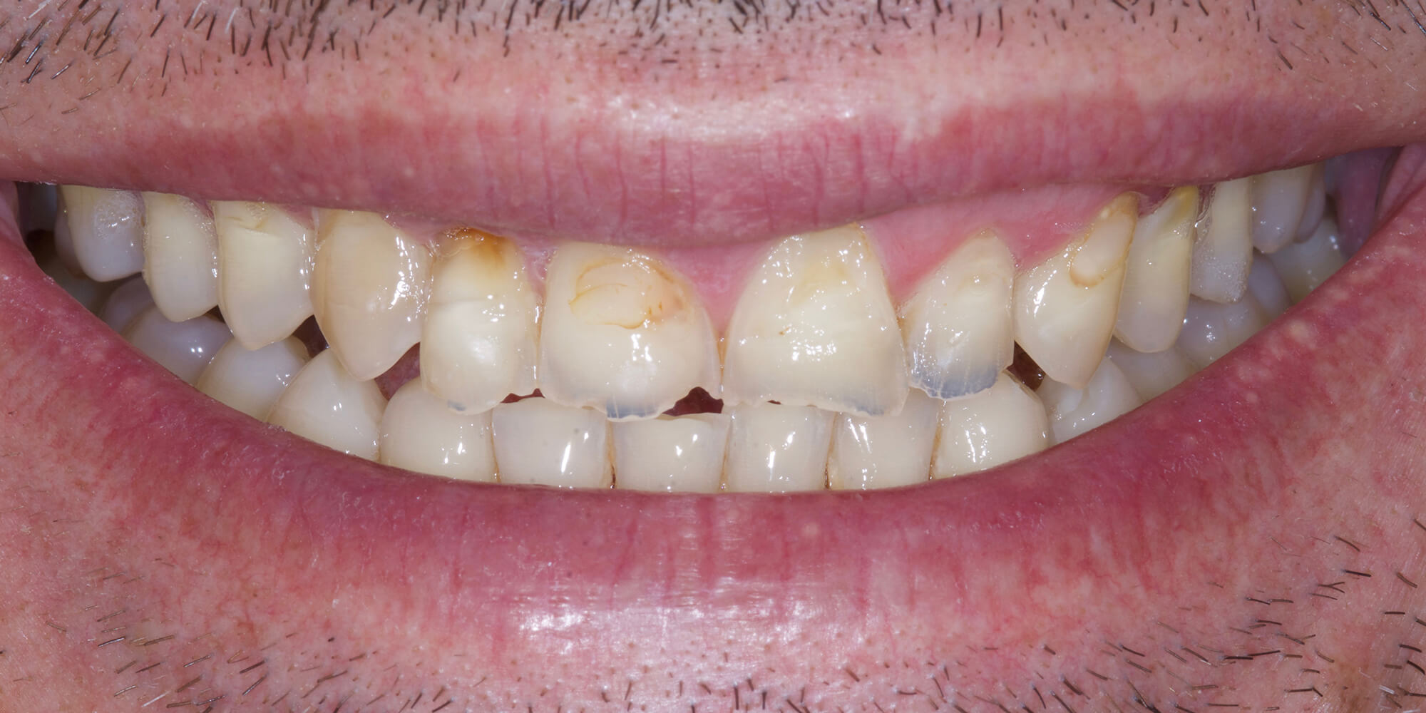
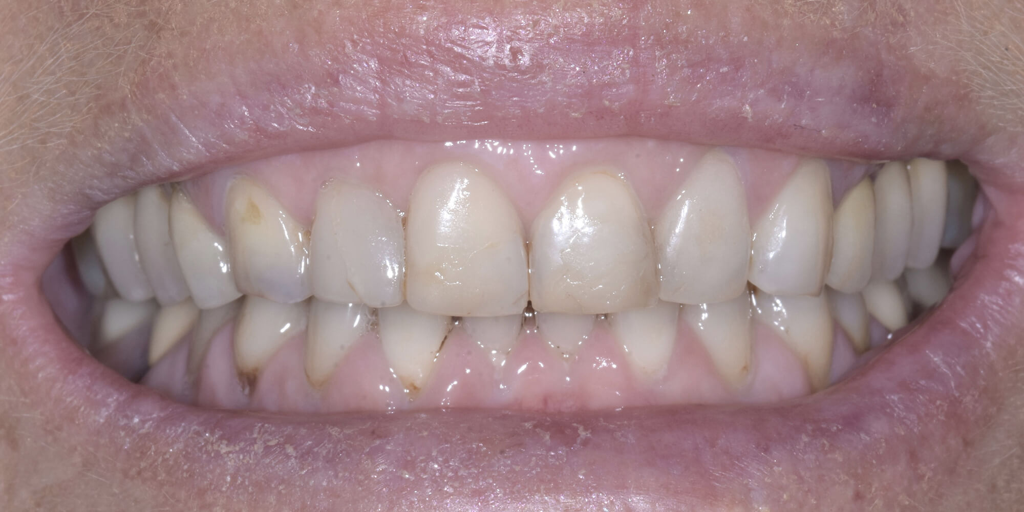
Les facettes sont des pellicules en céramiques extrêmement fines (0,3 mm) qui sont collées à la surface de votre propre dent à l’aide d’une technique de collage adaptée.
Cela permet de restaurer l’esthétique de toute vos dents et vous donner un sourire blanc éclatant. Les facettes permettent aussi de corriger toutes les imperfections de votre sourire afin de le rendre plus séduisant.


